Full Arch Rehabilitation
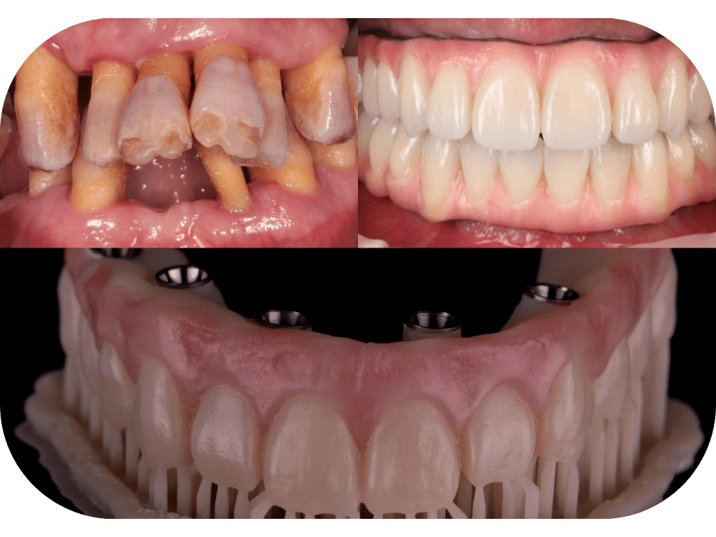
This comprehensive 3-day course covers the entire workflow of full-arch implant rehabilitation, from digital planning to final prosthesis delivery. You will learn treatment planning, guided surgery, immediate loading, and tissue management. The course features, interactive case discussions, and hands-on workshops on simulation models.
This course is ideal for clinicians aiming to master full-arch implant solutions for edentulous or terminal dentition.
Date: To be determined in 2026
Time: 8:00 AM – 5:00 PM (Sunday 8:00 AM – 12:00 PM)
Location: Ann Arbor Ypsilanti at Eagle Crest, Michigan
Credits & Duration: 22 CE Credit Hours · 2.5 Day Session
$5750
This comprehensive 3-day course covers the entire workflow of full-arch implant rehabilitation, from digital planning to final prosthesis delivery. You will learn treatment planning, guided surgery, immediate loading, and tissue management. The course features, interactive case discussions, and hands-on workshops on simulation models.
This course is ideal for clinicians aiming to master full-arch implant solutions for edentulous or terminal dentition.
Course Topics
Course Educators
-

Dr. Ramón Gómez Meda
-

Dr. Amar Katranji
DDs, MS
-

Dr. Jayden Li
DDS, MS, PhD
-

Adrian Hernandez
CEO & Founder PIC Dental
Sign up today!
To Set up a Payment Plan Please Call us at
(866)-552-2290
Full Arch Rehabilitation
$5750
This comprehensive 3-day course covers the entire workflow of full-arch implant rehabilitation, from digital planning to final prosthesis delivery. You will learn treatment planning, guided surgery, immediate loading, and tissue management. The course features, interactive case discussions, and hands-on workshops on simulation models.
This course is ideal for clinicians aiming to master full-arch implant solutions for edentulous or terminal dentition.
Contact us today!
Wondering How it Works?
Fill out this form and we will get back to you and explain all the details.